Neurocutaneous syndromes are a diverse group of disorders that involve both skin and nervous systems. It is typically located in the occipital lobe. Mri features include leptomeningeal angiomatosis, cortical and pial calcifications, and angiomatous change of the choroid plexus.
Sturge Weber syndrome Image
Intracranial calcification, a common radiologic manifestation.
Sturge weber syndrome is a congenital condition characterized by an intracranial vascular anomaly, leptomeningeal angiomatosis, most often involving the occipital and parietal lobes.
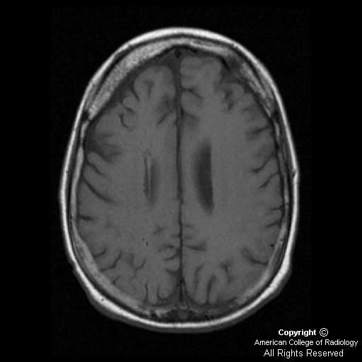
On ct, extensive gyral and subcortical calcification is seen at right cerebral parenchyma along with. When found in the lungs, tram tracks are radiologic signs that are usually accompanied by pulmonary edema in cases of congestive heart failure and bronchiectasis. Final revision received december 2; The appearance of extensive calcifications early in life may be associated with a more severe clinical outcome.
Ct scan may show brain atrophy calcification and ipsilateral choroid plexus enlargement.
Manipal journal of nursing and health sciences, 4(1). Skull x ray film may show classic tram line or tram track calcifications. In patients with sturge weber syndrome x ray findings in the skull usually show a tram track pattern of calcification that is caused by calcification in opposing gyri on either side of an intervening dilated sulcus. 1 from the department of radiology, hacettepe university, 06100 sihhiye, ankara, turkey.
Foramen magnum crowding with hydrocephalus and syrinx cns radiology magnum.
The anomaly can affect both cerebral hemispheres. 5 this sign can be observed on plain radiograph, noncontrast ct. Unlike other neurocutaneous disorders phakomatoses sturge weber occurs. Type 3 is the rarest variety of sws spectrum disorders, which can present in adults for the first time, usually with seizures or migraine.
2 the calcifications do not usually appear until the patient reaches at least 2 years of age, and then they stabilize by the second decade of life.
35 year male presented with h/o frequent fall , seizures & abnormal cognitive state. It is characterized by a congenital facial birthmark and neurological abnormalities. Tram track calcification in sturge weber. Tram track sturge weber syndrome.
We reviewed a subset of patients with sturge.
1 a case of 55 year old man with first ever generalized seizure diagnosed with sturge weber syndrome type iii by. A case report theresa l mendonca, sunseamol t thomas* email: An estimated frequency of 1 per 50,000 live births have sws, although experts believe many more people have the disorder but have not yet been identified.the hallmark intracranial vascular anomaly is leptomeningeal. In the absence of facial angiomas, and glaucoma on ocular examination, we made the diagnosis of sws type 3.
 
            
 
            
 
            
 
            
 
            
 
            
 
            
