Description download diagnostico radiografico dental free in pdf format. Las prestaciones realizadas por nosotros son: La radiografa dental es un instrumento que proporciona cierta informacin limitada, ya que nos presenta una imagen bidimensional de estructuras que realmente son tridimensionales.
Radiografías dentales Clínica Dental Albarrán Liso
Pinares.j@gmail.com resumen el propósito del presente trabajo es realizar una revisión critica de la literatura acerca del papel actual de la radiología convencional en el diagnostico de la caries proximal en piezas posteriores, considerando los principios de formación de la imagen y los
Usted debe permanecer sin moverse mientras la cabeza del dispositivo de radiografías
A partir de ella, el dentista puede efectuar secciones. Muy similar a los escáneres que se acostumbran a usar en medicina, el tac dental toma cientos de imágenes desde diferentes ángulos de la boca del paciente. Puedes contactarnos al 600 718 6000 y agendar una hora de diagnóstico dental pro con tu ejecutiva (o). El odontólogo general debe solicitar de rutina esta radiografía a los 6, 12 y 18 años de edad, a los 6 años para revisar el inicio del recambio dental, a los 12 para verificar la situación de los dientes definitivos y a.
Consiste en la lectura o descripción de toda la información contenida dentro de las imágenes radiográficas y de esa manera poder percibir o captar las características de cada una de ellas.
El diagnóstico en odontología va principalmente enfocado a la evaluación de la cavidad oral con el propósito de identificar órganos dentales que deban ser restaurados, identificar enfermedades de los dientes o enfermedades de los tejidos bucales. About us we believe everything in the internet must be free. El diagnóstico realizado por un odontólogo también puede orientarse hacia el análisis de la cabeza y del cuello. Los rayos x son una forma de radiación electromagnética de alta energía y penetran el cuerpo para formar una imagen en una película o en una pantalla.
Las radiografías dentales son un tipo de imagen de los dientes y la boca.
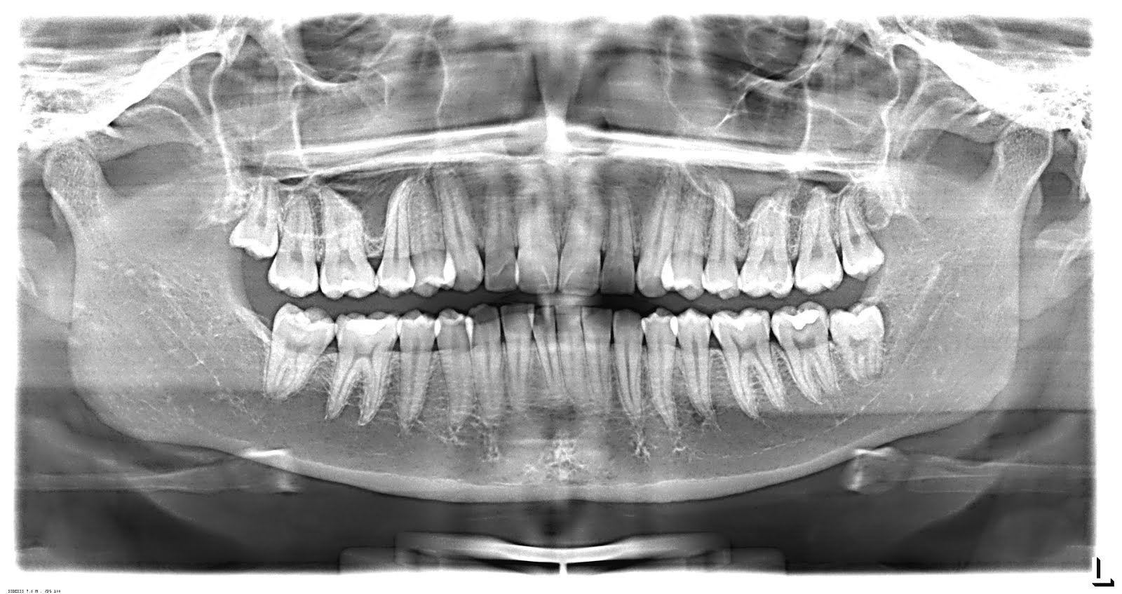
California dental association 1201 k street, sacramento, ca 95814 800.cda.smile cda.org ® panorámica (panorex) una panorámica es una radiografía que se toma sin colocar la placa radiográfica dentro de la boca. La imagen radiogrfica es el resultado de la superimposicin del diente, hueso y tejidos blandos en el trayecto entre el cono del. Estas radiografías son enviadas a un ordenador, que genera una imagen virtual en 3 dimensiones de la boca del paciente. Imagen resultante del conjunto de índices absorcionales distintos que se forman a través de líneas simples o radioopacas y áreas
El sistema de radiografías digital sidexis nos permite obtener las imágenes radiográficas digitales en fracción de segundos.
Contamos con aparatología de última generación en toma de imágenes digitales de la marca soredex. A) la evaluación clínica periodontal (examen de encía, sondeo) y b) examen dental (corona, manchas dentales, restauraciones, relaciones de contacto, movilidad dental). I) la evaluación clínica periodontal (examen de encía, mucosa alveolar y sondeo) ii) examen dental (corona, manchas dentales, restauraciones, relaciones de contacto, movilidad dental). Howar ryley raper de indiana, eeuu., introdujo la radiografía de aleta mordida como una técnica específica para.
De frente en reposo, de frente en sonrisa, de perfil y tres cuartos.
Métodos para el diagnóstico de caries dental método radiográfico: Diagnóstico radiográfico de la caries dental. Diagnóstico radiográfico de caries 2. En el tratamiento de la caries dental y de las enfermedades pulpares es un recurso auxiliar, complementario del examen clínico, durante el diagnostico, indispensable durante la etapa del tratamiento y necesario para el control del proceso de reparación postoperatorio.
Diagnostico radiografico de caries 1.
El radiólogo dental debe ser capaz de reconocer los puntos de referencia anatómicos normales en las radiografías intrabucales. Las radiografías coronales son un complemento para el diagnóstico de caries interproximales, no obstante, cuando histológicamente la lesión de caries involucra solo la mitad del espesor del esmalte, usualmente, no se puede detectar la lesión con la radiografía. Diagnóstico con la mas alta calidad fotográfica y nitidez con equipos de última tecnología en radiología dental. 1) historia del paciente, sistémica y dental 2) historia de la presente enfermedad 3) el examen clínico, donde nos centramos en:
Las radiografías pueden tomarse de manera digital o en una película.
Por un lado, se harán fotos de la cara: Si no se tiene buen conocimiento de estas estructuras, se puede. Dental cavity, a new outlook correspondencia: Bruno pier doménico especialista en radiología oral y maxilofacial.
Puedes reservar directamente en la web haciendo click en el botón “agendamiento” que está al final de las preguntas y respuestas.
Aquí podremos evaluar las asimetrías faciales, la prominencia de los labios, el tipo de perfil del paciente, así como su sonrisa. 1) historia del paciente, sistémica y dental 2) historia de la presente enfermedad 3) el examen clínico, donde nos centraremos en: So this tool was designed for free download documents from. Imágenes con alta nitidez, equipos que reducen al mínimo la superposición y las imágenes borrosas.
La incorporación de la radiología permite detectar lesiones de caries no pesquisables al examen clínico.
A cualquier edad esta radiografía permitirá saber la salud dental del paciente a nivel de dientes y huesos maxilares. Es importante en el diagnóstico en ortodoncia la realización de fotografías al paciente. Click the start the download.






