It’s easier to securely attach the. How much does a bonded retainer cost in the uk? They are also known as fixed retainers or lingual wire.
How Long Do You Have to Wear Retainers After Braces?
The actual permanent retainer cost will depend on the severity of your case, the type of material used, and your dentist’s fees.
(the company that makes invisalign®) offers a dental retainer program under the brand name vivera®.
Permanent retainers could be expensive and may not be. (bonded retainers are often placed on the bottom teeth, with a removable retainer used on top.) Every office is a bit different and pricing can range from $250 to $800. This is where an orthodontist uses a piece of metal wire that is glued to the back of the upper or lower teeth.
Bonded retainers cost between $225 to $550 per arch.
I got a bonded retainer on the top teeth today and it cost me $350. It significantly varies depending on the type but can range from $100 up to more than $2,000 depending on all other factors like the dental clinic, its purpose, among others. Essix retainers cost $100 to $300 per arch; The retainer is called a lingual wire because it’s glued or bonded to the back surface oof your teeth.
Typically, a permanent or bonded retainer costs somewhere around $250.
My insurance does not cover adult orthadontia, so i used my flexible spending account to. Some offices may include retainer repairs for a period of time following braces or invisalign. This is higher than other types, but a fixed retainer should last for years. On average, bonded retainers may cost between $250 and $700 for initial placement or replacement.
This way, the person will have backup retainers, and this is particularly useful for those who grind their teeth a lot.
Usually, bonded retainers are fixed on the bottom teeth and a. Because these retainers last for so many years, they are an economical solution and often cost less than other types of retainers. These range in price from $250 to $500 for one arch and $500 to $1,000 for both arches. This service provides a new set of retainers for the patient every three months.
The annual fee for the program is around $500 and up.
A bonded retainer is common nowadays. Once these models are in place, they should require little to. In our office, we offer two types of removable retainers, vivera and essix. It is important to point out that, this is not a fixed retainer, and the cost of it is between $50 and $200 per set.
I think properly bonding a retainer is one of the most technique sensitive things that i do day to day, and therefore i exclusively place all bonded retainers in my practice.
Both types of removable retainers are made of clear plastic and fit over your lower bonded retainer (if you have one). Occasionally, your dentist may recommend a “permanent” retainer, or a bonded retainer, which is applied to the back of your teeth to reduce how much they shift over time. The average cost of a bonded retainer in the uk is between £100 and £400 for one arch. Consult orthodontic experts bonded retainers aren’t for everyone but for those patients who are ideal candidates;
The cost of fixing a broken retainer also depends on if the existing retainer wire can be reused or if a new retainer needs to be made from scratch.
Invisalign vivera retainers usually come in a set of four, and cost between $600 and $1,200, while essix retainers come as a single set for between $100 and $300. Bonded retainers range from $250 to $500 for a single arch. 5 rows the cost to replace an nhs retainer that’s lost or broken beyond repair is £84.80 per device, so. But once he does get accustomed to it,.
Invisalign vivera retainers come as a set of four, which costs $400 to $1200 per set.
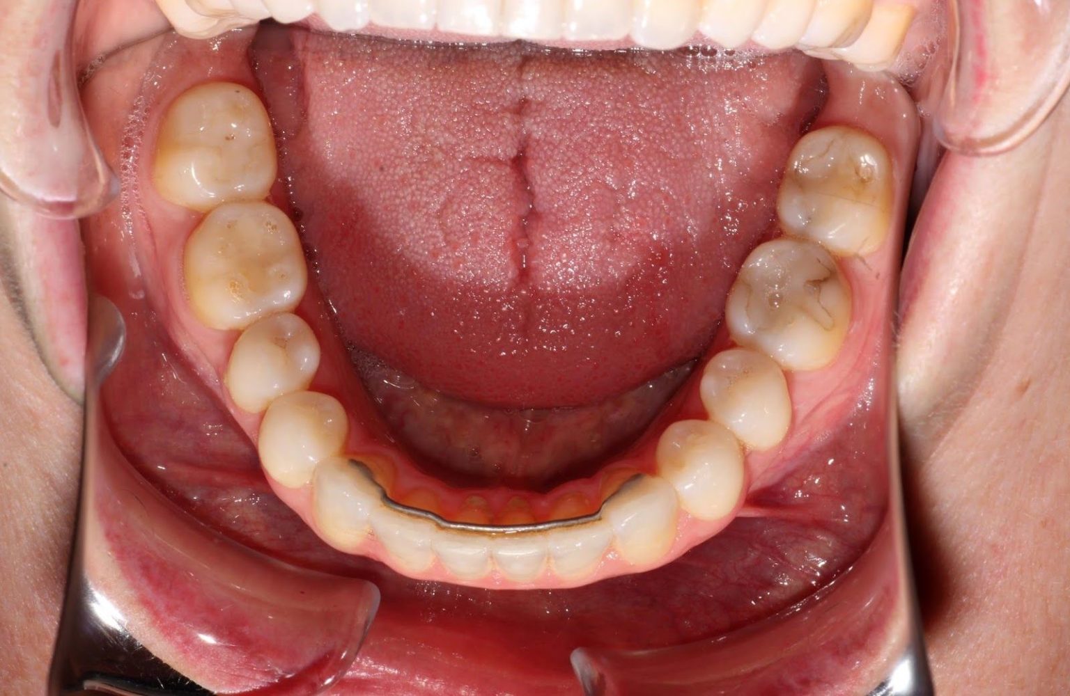
A bonded retainer is a very thin piece of wire that is attached to the back of the teeth. These retainers can be an excellent tool to keep that smile as straight as the day the braces were removed. Bottom and top permanent retainers can set you back around $1000. However, replacements are not included, so it pays to take proper care of your retainer.
It won't be visible when he smiles, though he will be able to feel it with his tongue — a sensation that takes a little getting used to.
A bonded retainer cost is from $150 to $500 to put or replace. The second factor is how well the bonded retainer is applied to the teeth by the orthodontic office. In case you need bonded retainers, which are glued to the tooth’s back, be prepared to pay $260 to $510 for one arch and $520 to $1,100 for a set (lower and upper).






